Skip to content Skip to sidebar Skip to footer

Sapho Syndrome Sternoclavicular Joint

A 50 Year Old Woman With Sapho Syndrome Presented With Recurrent Download Scientific Diagram

A 50 Year Old Woman With Sapho Syndrome Presented With Recurrent Download Scientific Diagram

Sapho syndrome sternoclavicular joint. SAPHO syndrome includes a variety of inflammatory bone disorders that may be associated with skin changes. A case of temporomandibular joint arthroplasty with resorbable fixation system and temporalis myofascial flap. Dislocation of the mandibular condyle into the middle cranial fossa.

Joint Specific Conditions SAPHO Syndrome Middle-aged adults Skin changes ESRCRP mildly elevated Erosive changes Ossification of ligament insertion. SAPHO is an acronym for synovitis acne palmoplantar pustulosis hyperostosis and osteitis. This is followed by a progressive program to regain normal range of motion and a.

If the Sternoclavicular joint is unstable let the patient use a sling for a few weeks until symptoms resolve. As one of the causes of PAO the existence of chronic infection is listed. SAPHO of the sternoclavicular joint.

Whole-body 99m Tc methylene diphosphonate bone scintigram demonstrates increased uptake in both sternoclavicular joints the sternum the right greater trochanter. These diseases share some clinical radiologic and pathologic characteristics. It is composed of two portions separated by an articular disc of fibrocartilageThe bone areas entering into its formation are the sternal end of.

The sternoclavicular joint or sternoclavicular articulation is the joint between the manubrium of the sternum and the clavicle boneIt is structurally classed as a synovial saddle joint and functionally classed as a diarthrosis and multiaxial joint. B Bone scintigram obtained with technetium 99m 99m Tc medronate shows areas of increased radiotracer activity in the medial aspect of both clavicles arrows and in the. An entity initially known as chronic recurrent multifocal osteomyelitis was first described in 1972.

Systematic review and metaanalysis. Most common location of involvement with osteitis and hyperostosis. The effectiveness of local injections of steroids for sternoclavicular and sternocostal joints is reported.

Plain radiograph is non-specific but SAPHO syndrome can be suspected if present with the other clinical findings. Especially the inspection of tonsillitis periodontitis and sinusitis is very important.

Multimodal Imaging Findings Of Sapho Syndrome With No Skin Lesions A Report Of Three Cases And Review Of The Literature

Multimodal Imaging Findings Of Sapho Syndrome With No Skin Lesions A Report Of Three Cases And Review Of The Literature

Multimodal Imaging Findings Of Sapho Syndrome With No Skin Lesions A Report Of Three Cases And Review Of The Literature

Multimodal Imaging Findings Of Sapho Syndrome With No Skin Lesions A Report Of Three Cases And Review Of The Literature

2

2

Sapho Syndrome Radiology Reference Article Radiopaedia Org

Sapho Syndrome Radiology Reference Article Radiopaedia Org

What Rheumatologists Should Look For In Diagnosing Sapho Syndrome The Rheumatologist

What Rheumatologists Should Look For In Diagnosing Sapho Syndrome The Rheumatologist

Sapho Syndrome Radiology Reference Article Radiopaedia Org

Sapho Syndrome Radiology Reference Article Radiopaedia Org

Sapho Syndrome An Overview Sciencedirect Topics

Sapho Syndrome An Overview Sciencedirect Topics

Sapho Syndrome With Enthesopathy Bmj Case Reports

Sapho Syndrome With Enthesopathy Bmj Case Reports

Typical Bullhead Sign In Sapho Of The Sternoclavicular Joint Ct Download Scientific Diagram

Typical Bullhead Sign In Sapho Of The Sternoclavicular Joint Ct Download Scientific Diagram

Anterior Chest Wall In Sapho Syndrome Magnetic Resonance Imaging Findings Arthritis Research Therapy Full Text

Anterior Chest Wall In Sapho Syndrome Magnetic Resonance Imaging Findings Arthritis Research Therapy Full Text

Thoracic Outlet Syndrome In A Patient With Sapho Syndrome A Case Report Sciencedirect

Thoracic Outlet Syndrome In A Patient With Sapho Syndrome A Case Report Sciencedirect

Diagnosis And Treatment Of Sapho Syndrome A Case Report

Diagnosis And Treatment Of Sapho Syndrome A Case Report

Sapho Syndrome A Review Springerlink

Sapho Syndrome A Review Springerlink

What Rheumatologists Should Look For In Diagnosing Sapho Syndrome The Rheumatologist

What Rheumatologists Should Look For In Diagnosing Sapho Syndrome The Rheumatologist

Images Of The Month 3 The Bull S Head Sign Of Sapho Syndrome Rcp Journals

Images Of The Month 3 The Bull S Head Sign Of Sapho Syndrome Rcp Journals

Sapho Syndrome Diagnosis And Treatment Report Of Five Cases And Review Of The Literature

Sapho Syndrome Diagnosis And Treatment Report Of Five Cases And Review Of The Literature

Pdf Sternocostoclavicular Hyperostosis In Sapho Syndrome

Pdf Sternocostoclavicular Hyperostosis In Sapho Syndrome

Multimodal Imaging Findings Of Sapho Syndrome With No Skin Lesions A Report Of Three Cases And Review Of The Literature

Multimodal Imaging Findings Of Sapho Syndrome With No Skin Lesions A Report Of Three Cases And Review Of The Literature

Sapho Syndrome Masquerading As Metastatic Breast Cancer

Sapho Syndrome Masquerading As Metastatic Breast Cancer

Sapho Syndrome Radiology Reference Article Radiopaedia Org

Sapho Syndrome Radiology Reference Article Radiopaedia Org

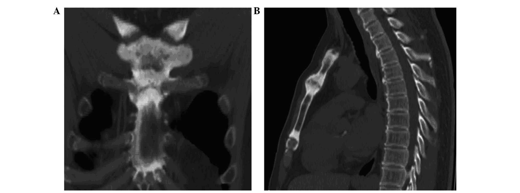
Whole Spine Computed Tomography Findings In Sapho Syndrome The Journal Of Rheumatology

Whole Spine Computed Tomography Findings In Sapho Syndrome The Journal Of Rheumatology

Cureus Synovitis Acne Pustulosis Hyperostosis Osteitis Sapho An Interesting Clinical Syndrome

Cureus Synovitis Acne Pustulosis Hyperostosis Osteitis Sapho An Interesting Clinical Syndrome

Sternoclavicular Joint Pathology Radsource

Sternoclavicular Joint Pathology Radsource

1

1

Lesions Revealed By 18 F Fdg Pet Ct In Sapho Syndrome White Arrows Download Scientific Diagram

Lesions Revealed By 18 F Fdg Pet Ct In Sapho Syndrome White Arrows Download Scientific Diagram

Sapho Of The Sternoclavicular Joint A Axial Chest Ct Image Shows Download Scientific Diagram

Sapho Of The Sternoclavicular Joint A Axial Chest Ct Image Shows Download Scientific Diagram

Anterior Chest Wall In Sapho Syndrome Magnetic Resonance Imaging Findings Arthritis Research Therapy Full Text

Anterior Chest Wall In Sapho Syndrome Magnetic Resonance Imaging Findings Arthritis Research Therapy Full Text

2

2

Sapho Syndrome In The Differential Diagnosis Of Metastasis Reumatologia Clinica

Sapho Syndrome In The Differential Diagnosis Of Metastasis Reumatologia Clinica

Sapho Syndrome And Enthesitis

Sapho Syndrome And Enthesitis

Epos Trade

Epos Trade

Full Text Magnetic Resonance Imaging Of Sternoclavicular Joint Arthritis Due To Sapho Syndrome International Journal Of Case Reports And Images Ijcri

Full Text Magnetic Resonance Imaging Of Sternoclavicular Joint Arthritis Due To Sapho Syndrome International Journal Of Case Reports And Images Ijcri

What Rheumatologists Should Look For In Diagnosing Sapho Syndrome The Rheumatologist

What Rheumatologists Should Look For In Diagnosing Sapho Syndrome The Rheumatologist

A Scan Image Of The Right Sternoclavicular Joint In A Healthy Subject Download Scientific Diagram

A Scan Image Of The Right Sternoclavicular Joint In A Healthy Subject Download Scientific Diagram

Sapho Syndrome In Childhood A Case Report Reumatologia Clinica

Sapho Syndrome In Childhood A Case Report Reumatologia Clinica

Anterior Chest Wall In Sapho Syndrome Magnetic Resonance Imaging Findings Arthritis Research Therapy Full Text

Anterior Chest Wall In Sapho Syndrome Magnetic Resonance Imaging Findings Arthritis Research Therapy Full Text

Ct Scan Showed Fragmentation Of The Right Sternoclavicular Joint With Download Scientific Diagram

Ct Scan Showed Fragmentation Of The Right Sternoclavicular Joint With Download Scientific Diagram

Pdf The Dark Side Of Sapho Syndrome

Pdf The Dark Side Of Sapho Syndrome

Disorders Of The Sternoclavicular Joint The Bone Joint Journal

Disorders Of The Sternoclavicular Joint The Bone Joint Journal

What Rheumatologists Should Look For In Diagnosing Sapho Syndrome The Rheumatologist

What Rheumatologists Should Look For In Diagnosing Sapho Syndrome The Rheumatologist

Sapho Syndrome With Enthesopathy Bmj Case Reports

Sapho Syndrome With Enthesopathy Bmj Case Reports

Images Of The Month 3 The Bull S Head Sign Of Sapho Syndrome Rcp Journals

Images Of The Month 3 The Bull S Head Sign Of Sapho Syndrome Rcp Journals

Epos C 1815

Epos C 1815

Multimodal Imaging Findings Of Sapho Syndrome With No Skin Lesions A Report Of Three Cases And Review Of The Literature

Multimodal Imaging Findings Of Sapho Syndrome With No Skin Lesions A Report Of Three Cases And Review Of The Literature

A Case Of Synovitis Acne Pustulosis Hyperostosis And Osteitis Sapho Syndrome Presenting With Hypertrophic Pachymeningitis Journal Of The Neurological Sciences

A Case Of Synovitis Acne Pustulosis Hyperostosis And Osteitis Sapho Syndrome Presenting With Hypertrophic Pachymeningitis Journal Of The Neurological Sciences

Sapho Syndrome With Pathological Fractures Of Vertebral Bodies A Case Report Bmc Musculoskeletal Disorders Full Text

Sapho Syndrome With Pathological Fractures Of Vertebral Bodies A Case Report Bmc Musculoskeletal Disorders Full Text

Figure 3 From Synovitis Acne Pustulosis Hyperostosis Osteitis Sapho Syndrome With Significant Bilateral Pleural Effusions Semantic Scholar

Figure 3 From Synovitis Acne Pustulosis Hyperostosis Osteitis Sapho Syndrome With Significant Bilateral Pleural Effusions Semantic Scholar

Mandibular Osteitis Leading To The Diagnosis Of Sapho Syndrome

Mandibular Osteitis Leading To The Diagnosis Of Sapho Syndrome

Https Encrypted Tbn0 Gstatic Com Images Q Tbn And9gcrvkcx6lgkujdof Ddjrcys7c0m8n7seubmlw5lr2gf Djgfjj7 Usqp Cau

Https Encrypted Tbn0 Gstatic Com Images Q Tbn And9gcrvkcx6lgkujdof Ddjrcys7c0m8n7seubmlw5lr2gf Djgfjj7 Usqp Cau

Joint Specific Conditions SAPHO Syndrome Middle-aged adults Skin changes ESRCRP mildly elevated Erosive changes Ossification of ligament insertion.

It is composed of two portions separated by an articular disc of fibrocartilageThe bone areas entering into its formation are the sternal end of. It is composed of two portions separated by an articular disc of fibrocartilageThe bone areas entering into its formation are the sternal end of. It is also called sternoclavicular hyperostosis. SAPHO is an acronym for synovitis acne palmoplantar pustulosis hyperostosis and osteitis. Most common location of involvement with osteitis and hyperostosis. A case of temporomandibular joint arthroplasty with resorbable fixation system and temporalis myofascial flap. SAPHO of the sternoclavicular joint. Systematic review and metaanalysis. As one of the causes of PAO the existence of chronic infection is listed.


Especially the inspection of tonsillitis periodontitis and sinusitis is very important. These diseases share some clinical radiologic and pathologic characteristics. Joint Specific Conditions SAPHO Syndrome Middle-aged adults Skin changes ESRCRP mildly elevated Erosive changes Ossification of ligament insertion. Especially the inspection of tonsillitis periodontitis and sinusitis is very important. Treatment for focal infections. A Axial chest CT image shows marked hyperostosis osteosclerosis and ankylosis of the sternoclavicular joints arrows. SAPHO is an acronym for synovitis acne palmoplantar pustulosis hyperostosis and osteitis.

Post a Comment for "Sapho Syndrome Sternoclavicular Joint"